ONDA Lifting 

통증 걱정 없이 지방분해 및 리프팅으로

눈에 띄는 효과를 주는 온다리프팅

ONDA Lifting 

통증 걱정 없이 지방분해 및 리프팅으로

눈에 띄는 효과를 주는 온다리프팅

초음파 장비의 한계를 뛰어넘은

새로운 리프팅의 강자,

신유피부클리닉에서 만나보세요.


온다리프팅은 고주파 에너지를

피부 진피층에 전달해 콜라겐 재생과 탄력 개선을

유도하는 리프팅 시술입니다.

 

신유피부클리닉은 개인의 피부 상태와

탄력 저하 정도를 꼼꼼히 분석해

자연스럽고 균형 잡힌 효과를 낼 수 있도록

맞춤 시술을 진행합니다.

SHINYU CLINIC

온다(ONDA) 리프팅 


온다리프팅은 극초단파(Microwave) 에너지를 이용한

프리미엄 리프팅 시술로, 표피 손상 없이 탄력 개선과

지방 분해를 동시에 유도합니다.


특히 통증이 거의 없고 일상생활에 지장이 적은 것이

큰 장점이며 시술 직후부터 피부가 조여지는

즉각적인 타이트닝 효과가 나타나고 시간이 지날수록

콜라겐 재생이 활성화되어 탄탄하고 매끄러운

피부로 개선됩니다.


신유피부클리닉의 소프웨이브는

전 과정을 담당의사가 직접 시술합니다.


이중턱 개선  잔주름 개선  콜라겐 형성

피부결 개선  바디라인 정리  모공개선

SHINYU CLINIC

새롭고 효과적인

리프팅이 필요한 타이밍,

얼굴에서 바디까지

당신에게 ONDA :

온다가 필요한 이유

20대
이중턱, 턱 라인 무너짐
30~40대
팔자 주름, 입가 주름, 콜라겐 감소로
피부 탄력 감소
50~60대
볼 꺼짐 현상, 주름, 피부 탄력 감소

타이트닝+컨투어링+안티에이징

ONDA : 온다

ONDA : 온다는 기존 리프팅에 사용되던 고주파나 초음파 에너지가 아닌 특수 마이크로파 에너지를 원하는 부위에 전달해 스킨 타이트닝과 컨투어링에 효과적입니다. 피부 표면을 보호하고 에너지 손실을 막아 확실한 리프팅 효과와 피부 타이트닝 효과를 선사해 드립니다.

Onda (2Type Handpiece)

얕은 층부터 깊은 층까지, 얼굴부터 바디까지

정밀하게 커버하는 리프팅 솔루션


Face Handpiece

얼굴 리프팅 & 윤곽 라인 개선


01
진피 하부~지방층 사이까지 정교하게 작용해 피부 탄력 강화 및 리프팅 효과 

02
섬유 조직을 부드럽게 풀어줘
매끄러운 피부결 완성


03
RF(라디오파)와 유사한 원리로 작용하여
피부를 조밀하게 탄탄하게


04
볼살, 이중턱, 턱라인 등
피부 탄력이 필요한 부위에 적합


Body Handpiece

바디 탄력 & 셀룰라이트 개선

01
깊은 지방층까지 도달하는 특허받은
마이크로파(Microwave) 기술

02
지방세포를 직접 가열해 자연 분해를 유도하고, 지방 감소 효과 극대화

03
비침습적으로 바디라인을 정리하고,
셀룰라이트 완화에도 효과적

04
복부, 허벅지, 옆구리 등 넓은 부위의
바디 시술에 최적화

SHINYU CLINIC

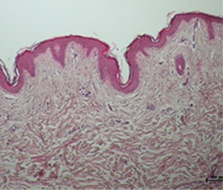
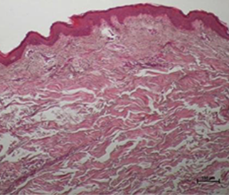
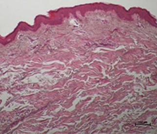
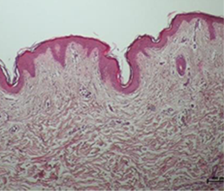
눈으로 직접 확인하는

콜라겐 활성 변화

온다리프팅 시술 후 진피의 콜라겐이 활성화 되고

늘어져 있던 콜라겐이 수축되는 것을 알 수 있습니다.

스킨타이트닝과 리프팅 효과가 동시에 이루어져

만족스러운 피부 리모델링이 이루어집니다.

*진피의 콜라겐(분홍색 영역) 활성화

SHINYU CLINIC

온다리프팅 특징


SHINYU CLINIC

온다리프팅

시술 부위 및 효과

01얼굴 전체적인 탄력 증진 

02
눈가 주름 개선

03모공 축소, 피부결 개선

04팔자 주름 개선

05
입가 주름 개선

06
이중턱 개선, 턱선 리프팅

01
팔뚝

02

03복부

04힙라인

05
허벅지

SHINYU CLINIC

온다 리프팅

이런 분께 추천해요 

  • 즉각적인 효과의 리프팅을 원하시는 분

  • 늘어난 피부과 모공을 개선하고 싶으신 분 

  • 특정 부위에 집중된 지방이 고민이신 분

  • 지방을 줄이면서 리프팅 효과를 원하시는 분

  • 통증이 걱정돼 리프팅 시술이 꺼려지는 분

  • 고주파/초음파 리프팅이 맞지 않다 생각하시는 분


SHINYU CLINIC

온다리프팅 Q&A 

Q. 통증이 없으면 리프팅 효과가 약하지 않나요? 

온다리프팅은 극초단파 에너지를 활용하며

쿨링 시스템이 내장되어 있어서

통증이 현저히 적지만, 필요한 부위에만

에너지 전달을 집중적으로 할 수 있어

더욱 섬세한 리프팅 & 타이트닝 효과를

기대할 수 있습니다.

Q. 얼굴에 살이 없는데 시술 받아도 되나요?  

탄력 개선용으로 얕게 침투하는 3mm 핸드피스와

지방 감소용으로 깊게 침투하는 7mm, 12mm 핸드피스로 개인별 피부타입 및 특성에 맞게

시술이 가능합니다.

Q. 시술 후 회복기간이 필요한가요?

별도의 회복기간이 거의 없어

바로 일상생활이 가능하며,

시술 직후부터 피부 탄력이 개선되는 것을

느낄 수 있습니다.

Q. 온다리프팅은 어떤 사람에게 추천되나요? 

피부 탄력이 떨어져 얼굴선이 처진 분이나,

칙칙한 피부결과 잔주름이

고민인 분들에게 적합합니다.

SHINYU's Speciality

초음파 장비의 한계를 뛰어넘은

새로운 리프팅의 강자,

신유피부클리닉에서 만나보세요.


온다리프팅은 고주파 에너지를 피부 진피층에 전달해

콜라겐 재생과 탄력 개선을 유도하는 리프팅 시술입니다.

신유피부클리닉은 개인의 피부 상태와 탄력 저하 정도를 꼼꼼히 분석해

자연스럽고 균형 잡힌 효과를 낼 수 있도록 맞춤 시술을 진행합니다.

SHINYU CLINIC

온다(ONDA) 리프팅 

온다리프팅은 극초단파(Microwave) 에너지를 이용한 프리미엄 리프팅 시술로,

표피 손상 없이 탄력 개선과 지방 분해를 동시에 유도합니다.

특히 통증이 거의 없고 일상생활에 지장이 적은 것이 큰 장점이며

시술 직후부터 피부가 조여지는 즉각적인 타이트닝 효과가 나타나고

시간이 지날수록 콜라겐 재생이 활성화되어 탄탄하고 매끄러운 피부로 개선됩니다.


신유피부클리닉의 소프웨이브는 전 과정을 담당의사가 직접 시술합니다.

SHINYU CLINIC

새롭고 효과적인 리프팅이 필요한 타이밍,

얼굴에서 바디까지

당신에게 ONDA : 온다가 필요한 이유

타이트닝+컨투어링+안티에이징 ONDA : 온다

ONDA : 온다는 기존 리프팅에 사용되던 고주파나 초음파 에너지가 아닌 특수 마이크로파 에너지를 원하는 부위에 전달해

스킨 타이트닝과 컨투어링에 효과적입니다. 피부 표면을 보호하고 에너지 손실을 막아 확실한 리프팅 효과와 피부 타이트닝 효과를 선사해 드립니다.

Onda (2Type Handpiece)

얕은 층부터 깊은 층까지, 얼굴부터 바디까지 정밀하게 커버하는 리프팅 솔루션

SHINYU CLINIC

눈으로 직접 확인하는

콜라겐 활성 변화

온다리프팅 시술 후 진피의 콜라겐이 활성화 되고

늘어져 있던 콜라겐이 수축되는 것을 알 수 있습니다.

스킨타이트닝과 리프팅 효과가 동시에 이루어져

만족스러운 피부 리모델링이 이루어집니다.


*진피의 콜라겐(분홍색 영역) 활성화

SHINYU CLINIC

온다리프팅 특징 

SHINYU CLINIC

온다리프팅 시술 부위 및 효과

SHINYU CLINIC

온다리프팅

이런 분께 추천해요 

  • 즉각적인 효과의 리프팅을 원하시는 분

  • 늘어난 피부과 모공을 개선하고 싶으신 분.

  • 특정 부위에 집중된 지방이 고민이신 분

  • 지방을 줄이면서 리프팅 효과를 원하시는 분

  • 통증에 대한 부담감으로 리프팅시술이 꺼려지는 분

  • 고주파/초음파 리프팅이 맞지 않다 생각하시는 분

SHINYU CLINIC

온다리프팅 Q&A 
Q. 통증이 없으면 리프팅 효과가 약하지 않나요? 

온다리프팅은 극초단파 에너지를 활용하며

쿨링 시스템이 내장되어 있어서 통증이 현저히 적지만,

필요한 부위에만 에너지 전달을 집중적으로 할 수 있어

더욱 섬세한 리프팅 & 타이트닝 효과를 기대할 수 있습니다.

Q. 시술 후 회복기간이 필요한가요? 

별도의 회복기간이 거의 없어 바로 일상생활이 가능하며,

시술 직후부터 피부 탄력이 개선되는 것을 느낄 수 있습니다.

Q. 얼굴에 살이 없는데 시술 받아도 되나요? 

탄력 개선용으로 얕게 침투하는 3mm 핸드피스와

지방 감소용으로 깊게 침투하는 7mm, 12mm

핸드피스로 개인별 피부타입 및 특성에 맞게

시술이 가능합니다.

Q. 온다리프팅은 어떤 사람에게 추천되나요? 

피부 탄력이 떨어져 얼굴선이 처진 분이나,

칙칙한 피부결과 잔주름이 고민인 분들에게 적합합니다.

SHINYU's Speciality

사업자 등록번호 : 220-10-09093  |  대표 : 신승호  |  Tel. 02-557-6075  |  Fax. 02-554-6075